藝點新聞Chloe編輯整理
一名70歲趙姓男子患有糖尿病、高血壓,平時飲食無忌口也不會特別選擇低油、高纖食品,反覆腹痛逾一年,直至上個月才因腹痛至診所就醫,胃鏡檢查後發現胃有些微發炎,診所醫生初步給予口服藥物治療。

▲陳信宏醫師看診。(示意圖/台北慈濟醫院)
沒想到疼痛消失了幾日,又開始產生腹痛,趙先生認為是先前胃發炎造成的疼痛,自行到藥局買藥,反而加劇腹痛。一周後,至診所採檢糞便潛血呈陽性,進一步以大腸鏡檢查,看出有一巨大潰瘍,合併腸黏膜糜爛,於是轉介到台北慈濟醫院。
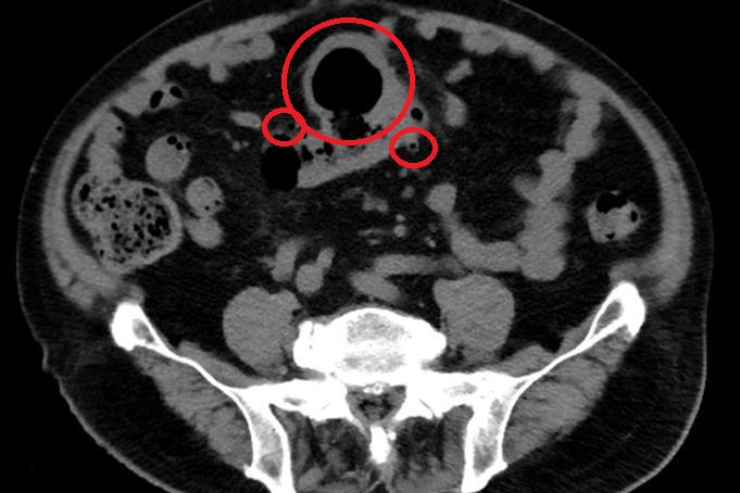
大腸直腸外科陳信宏醫師從電腦斷層發現大腸有多處憩室,合併乙狀結腸有一個巨大囊狀腫塊,甚至產生腹水,其中產生的憩室最大也已至7-8公分,經檢體取樣排除惡性腫瘤的可能後,以微創腹腔鏡手術切除乙狀結腸,五天後,趙先生平安出院,現已不再腹痛。

▲電腦斷層顯示大腸已有多處憩室。(示意圖/台北慈濟醫院)
大腸分為盲腸、升結腸、橫結腸、降結腸、乙狀結腸和直腸,負責吸收水份和儲存糞便,而所謂「大腸憩室」是指腸內壓力增加而形成膨出的囊袋,大部份的人不會察覺,往往都是透過健康檢查、電腦斷層得知,若囊袋發炎即為「大腸憩室炎」。但並非所有的大腸憩室都會形成發炎的症狀,約莫只有15-20%大腸憩室的患者,會轉變成有症狀的大腸憩室炎,其中有症狀的患者最終需要接受手術的也是屬於少數人。陳信宏醫師指出,「大腸憩室炎」好發於平時經常性攝取高油、低纖食物、抽菸喝酒的人,出現「大腸憩室炎」的機率也越高,通常伴隨腹痛、腹瀉甚至產生血便。

▲大腸鏡發現憩室已發炎潰爛。(示意圖/台北慈濟醫院)
陳信宏醫師指出,臨床上,會透過電腦斷層、大腸鏡檢查病患是否有大腸憩室,但因大腸鏡為侵入性檢查,不適用於已知腸道發炎的病人,以免發生穿孔的問題。「大腸憩室炎」分為四期,第一期、第二期會給予藥物治療,並以輕流質、低纖飲食為主就能逐漸改善病況;而第三期、第四期則會禁食,靠點滴給予水分及營養後,若症狀無改善,甚至加劇,則會選擇微創腹腔鏡手術切除病灶,最後將兩端腸子進行縫合,術後的腸道功能也無受影響,唯需注意傷口癒合狀況及術後控管飲食。
大腸憩室炎的表徵、疼痛點與其他腸胃疾病相似,許多民眾以為是單純腸胃炎,吃藥就好了而至坊間藥局買藥治療,對此,陳信宏醫師表示:「在不確定病因下擅自買藥治療只會造成病情惡化,若是臨床症狀較為嚴重或是門診治療後症狀屢次發生,則需要做詳細檢查,以免延宕治療。」除此之外,現代生活飲食西化,飲食中常以高油、缺乏纖維質的食物為主建議平時多吃蔬果雜糧等高纖食物並多攝取水分,減少憩室炎發生。
延伸閱讀