藝點新聞Chloe編輯整理
一位嫁到台灣40歲越南藉婦人,常感上腹悶痛,近日連續兩天有嘔吐情形,自認為是腸胃發炎而到急診求醫。澄清綜合醫院中港院區胃腸肝膽科陳鄭弘堯醫師表示,該婦女的三酸甘油酯數值竟是正常值的53倍,是引發急性胰臟炎的直接「兇手」,如果再延誤治療,可能造成器官衰竭或壞死,還好經施打胰島素、靜脈點滴注射,搭配藥物治療7天後恢復穩定,健康出院。

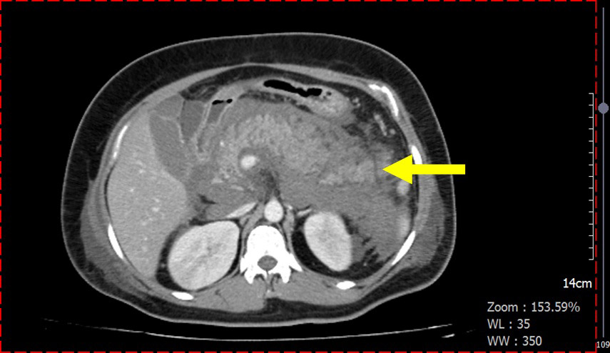
▲陳鄭弘堯醫師指出,該婦人高三酸甘油酯導致急性胰臟炎併發後腹腔出血。
該名婦人156公分、75公斤,於理學檢查並無發燒、無黑便與血便且無畏寒情形,僅心跳和呼吸稍快,腹部X光檢查亦無異樣,惟腹部超音波檢查發現有最重度脂肪肝、胰臟腫脹,但沒有膽結石。
陳鄭弘堯醫師表示,經急診抽血檢查發現她的三酸甘油酯數值竟高達8000mg/dl,是正常值的53倍(正常約150mg/dl以下),因胰臟發炎指數高達1946合併腎功能異常,且白血球11500/uL、血紅素25.6gm/dl、血糖指數288 mg/dl皆高於正常數值,因而收治住院治療觀察。
住院過程,該名女子病情急轉直下,因體內胰島素分泌嚴重不足而致酮酸中毒症、呼吸衰竭、血紅素下降而緊急送加護病房,確診為急性胰臟炎合併後腹腔出血。陳鄭弘堯醫師表示,急性胰臟炎的好發原因,通常與膽結石和酗酒有密切關係,但這位越南媽媽都沒有上述這兩種情形。

▲高三酸甘油酯導致急性胰臟炎併發後腹腔出血狀況。
陳鄭弘堯醫師進一步指出,她的胰臟急性發炎應是破表的三酸甘油酯指數肇的禍。據醫學臨床經驗,胰臟炎發作機率,若三酸甘油酯數值超過1000mg/dl就有5%風險;若超過2000 mg/dl則升高為10-20%,極可能會發生急性胰臟炎,不僅疼痛指數高,是有相當致命風險的疾病。
這位越南藉婦人是罹患「代謝性三酸甘油酯過高症」,本身也有糖尿病家族病史,加上其肥胖、脂肪肝等問題集於一身,是誘發急性胰臟炎的高風險族群。
急性胰臟炎很容易被誤為胃發炎而延誤醫治,陳鄭弘堯醫師強調,70%胰臟炎屬輕症,通常住院治療四、五天就可痊癒出院,不至於留下後遺症。如果病況嚴重,可能造成胰臟囊腫或壞死、感染或功能損害,還可能合併器官衰竭、呼吸衰竭、腎衰竭、休克等。因此,不能小看急性胰臟炎的殺傷力,有酗酒習慣、有結石及高三酸甘油酯偏高等高危險群,一定要戒酒、控制飲食、降低三酸甘油酯,尋求胃腸肝膽科醫師專業診治。
延伸閱讀