藝點新聞Chloe編輯整理
59歲的蔡先生經常嘴破,有時是吃東西自己咬到破皮、有時是不明原因的小潰瘍或小血泡。日前他又出現口腔潰瘍,原本並不以為意,可是不久後蔡先生即因發燒到住家附近的醫院就診,疑似肺炎住院兩天,出院後卻仍然斷斷續續地發燒,前陣子更因突如其來的胸悶、呼吸困難送到台北慈濟醫院急診室。檢查發現,蔡先生的血氧濃度只有92%(正常是95%),且雙側肺浸潤、發炎指數極高,插管住進加護病房治療。醫療團隊擔心嚴重的感染與心臟疾病有關,遂照會心臟血管科行超音波檢查,結果發現他的二尖瓣嚴重逆流,且有多處贅生物,最終診斷為口腔細菌「血鏈球菌」造成的感染性心內膜炎合併二尖瓣逆流,由心血管醫學中心張燕主任、心臟血管外科羅崇祐醫師聯手執行外科手術,替蔡先生置換人工瓣膜,挽救生命。

▲羅崇祐醫師看診示意照。
二尖瓣又稱僧帽瓣,是位於左心房與左心室間的瓣膜,可以控制血液流向。左心室是心臟輸出血液最重要的構造,收縮時二尖瓣會關閉,讓左心室將血液輸注至人體的大血管,供應全身組織,而逆流指的是左心室收縮時,二尖瓣無法完全緊閉,部分血液會倒流回左心房。羅崇祐醫師說明:「血液可以養活所有器官,但二尖瓣逆流會導致心輸出量大幅下降,進而造成嚴重的心因性休克和多重器官衰竭,倒退的血液則會造成囤積在肺部造成嚴重的肺水腫,危及生命。」

▲僧帽瓣前葉穿孔。
若只是單純的二尖瓣逆流是有機會靠微創手術治療的,但蔡先生的病況並不單純,因為他的二尖瓣不但逆流,還有一個1公分左右的大破損,周圍更出現許多細菌感染增生的贅生物,使得抗生素藥物治療效果有限。考量病人的情況若使用微創術式相當耗時,且有生命危險,醫療團隊決定以傳統手術方式治療。先在病人胸前正中處切一20公分的切口,鋸開胸骨後,將心臟麻痺停跳,找到二尖瓣後予以切除並清除周圍的贅生物,最後植入新的人工瓣膜並縫合左心房,在心臟復跳後縫合傷口。術後兩天,病人肺水腫大幅改善,持續以抗生素治療六個禮拜後,蔡先生康復出院。

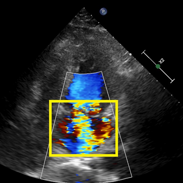
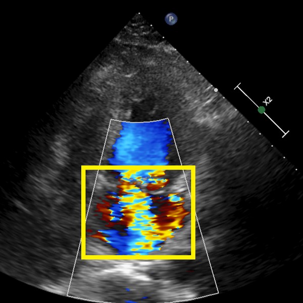
▲僧帽瓣逆流。
國外研究指出,感染性心內膜炎每年發生率大約每10萬人中有3到10人會發生,且其中有20%是由口腔內的草綠色鍊球菌造成,蔡先生感染的血鏈球菌亦是其中一種。病從口入,羅崇祐醫師提醒民眾,血液中的任何細菌都有感染心臟的風險,雖然人體免疫系統會在感染之初嘗試殺菌,但若病菌數量過多,出現增生的贅生物就會難以根治。因此民眾務必要重視口腔保健,勤刷牙、勤用漱口水維持口腔健康,如有潰瘍、發炎則要就醫治療,心臟疾患或手術前後若要執行口腔治療也要告知醫師,評估是否需服用預防性抗生素,以免病菌在治療過程中侵入血液,造成感染。
延伸閱讀