藝點新聞Chloe編輯整理

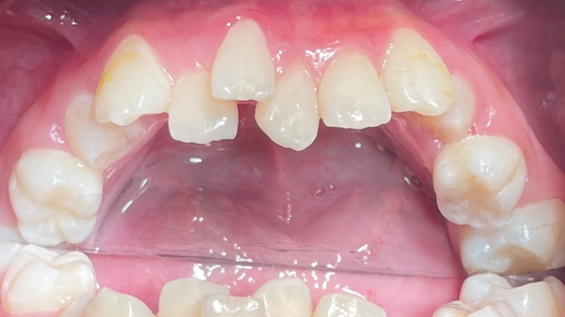
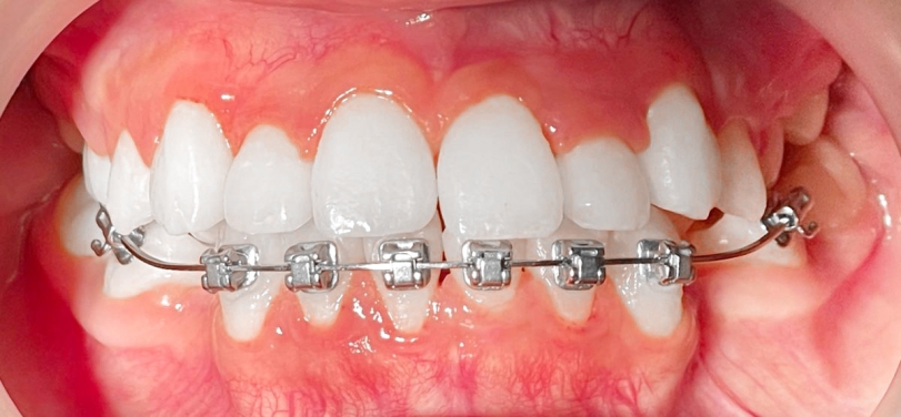
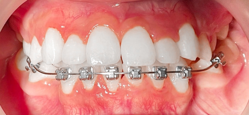
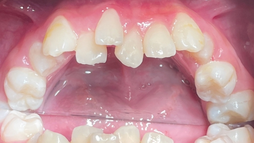
正在換牙期的小茹因齒列先天發育異常,從小就咬合不良,雖然能正常飲食,也不影響說話,但是一口亂牙令她相當困擾,因此在11歲時被媽媽帶來台北慈濟醫院齒顎矯正科評估。全口X光中看到小茹的牙齒不但亂,還有先天缺牙與阻生齒。陳宜宏醫師建議早期進行齒列矯正,也就上述狀況分別處理治療,迄今矯正一年半,先拆除上排矯正器,小茹的齒列與外觀已大幅改善,平整的門牙讓她更有自信,下排牙齒目前持續矯治中。
兒童大約從6歲開始進入換牙期,乳牙掉落並長出恆牙,許多家長在此時發現孩子有齒列不正的問題,擔心置之不理會影響臉型及外觀。陳宜宏醫師指出:「咬合不正的原因通常是由多個因素造成且有複雜的交互作用,進而影響正常齒顎的生長與發展。」為了評估矯正問題,可大致將咬合不正的病因歸類為特定因素、遺傳因素、環境因素三項。先天缺牙即屬於特定因素之一,戽斗與長臉型易受遺傳影響,後天不良習慣等環境因素如長期吸奶嘴、吸手指、鼻塞張口呼吸則可能造成上顎窄弓或影響臉型。

咬合不正可簡述為三類,第一類為正常咬合但牙齒排列不整齊,占五成以上,第二類常見於上門齒暴牙或小下巴,戽斗可能為第三類。不同人種,咬合不正的特徵也不一樣,第二類在北歐白種人的盛行率較高,戽斗則在亞洲族群較多。至於是否需要早期矯正或治療方式的選擇,醫師會視狀況給予個別化建議。
以小茹為例,經診斷其有:上顎牙弓發育不足、輕微戽斗與門牙排列紊亂、上排雙側犬齒阻生與第二小臼齒先天缺牙、下排雙側第二大臼齒阻生與右下第二小臼齒萌發方向異常。由於狀況複雜,陳宜宏醫師建議以固定矯正器加上顎兩支骨釘為主要治療方式,先針對長不出來的兩顆犬齒做電燒,讓埋在牙齦裡的齒面露出,黏上矯正器;接著拔掉兩顆上顎第二乳臼齒與打上骨釘,利用其將第一小臼齒與犬齒向後拉,同時上門齒慢慢排列整齊,考量小茹上顎先天缺牙且上下牙齒顆數必須對稱,故拔除下顎兩顆第一小臼齒來獲得空間,並將下門牙排列整齊。

小學中高年級開始,孩子與同儕的互動增加,嚴重的齒列不正若影響到顏面外觀,恐怕會讓小朋友不敢露齒笑,因此社會心理層面的考量也是醫師與家長決定要不要讓孩子接受矯正的因素之一。許多家長會詢問「越早矯正是否長大後比較可以維持齒列穩定?」但有些家長則認為太早矯正耗時耗力,若口腔清潔不佳容易造成蛀牙,得不償失。對此,陳宜宏醫師表示,在混和齒列時期接受矯正治療的小朋友因為要等待換牙,有時得分階段進行,且每位小朋友的嚴重程度、配合能力、爸媽對治療的態度皆不同,故難斷言早期矯正一定會成功或失敗。然而,早期矯正的好處除了能提升自信心,也可以降低第二階段矯正的困難度,但因為咬合異常的病因複雜,生長發育的變化也不可預測,所以不同醫師會有不同的治療方式。可是無論如何抉擇,最重要的還是平時維護、定期回診,才能擁有一口漂亮的好牙。
延伸閱讀